Sie befinden sich hier:   Home  >  Leistungen  >   Immunhistologie

Immunhistologie


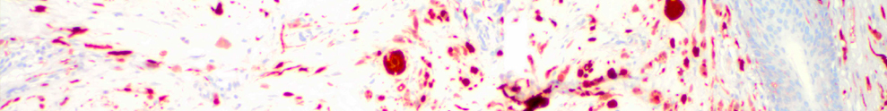
Die immunhistologische bzw. -zytologische Untersuchung hat die Aufgabe, antigene Strukturen in Gewebeschnitten oder in einzelnen Zellen zu erkennen. Dazu stehen eine Vielzahl von Antikörpern zur Verfügung, die auf das Zell- und Gewebsmaterial aufgebracht werden. Bei positivem Ausfall erfolgt eine Antigen-Antikörperreaktion. Das Reaktionsprodukt kann dann in nachfolgenden Reaktionsschritten mit gekoppelten Farbstoffen sichtbar gemacht werden.
Die Ergebnissse immunhistologischer Untersuchungen sind vor allem bei der Klassifizierung verschiedener Tumorerkrankungen und deren Vorstadien bedeutsam.



Östrogenrezeptor bei Mammakarzinom

Melanommetastase (Melan A)

Helicobacter pylori (Magenschleimhaut)







Sie befinden sich hier:   Home  >  Leistungen  >   Immunhistologie

©Copyright 2012 - 2024 Pathologienetzwerk Nordost. Alle Rechte vorbehalten.   Home   |  Impressum   |  Datenschutz                 
Realisierung durch Agentur Durchdacht